
Ein professionelles Bleaching bei Zahnarzt oder Zahnärztin ist kostspielig. Zahlt es sich wirklich aus? Wir haben mit einem Experten gesprochen und den Test gemacht!
- Weiße Zähne: Methode und Kosten für ein Bleaching
- Welche Bleaching-Methode ist die innovativste?
- Welchen Unterschied gibt es beim zahnärztlichen Bleaching und dem in Bleaching-Bars?
- Welche Ergebnisse kann man bei einem Bleaching erwarten?
- Was muss vor einem Bleaching beachtet werden?
- Sind die Zähne nach dem Bleaching schmerzempfindlich?
- Für welche Patientinnen und Patienten ist das Bleaching nicht geeignet?
- Wie funktioniert das professionelle Bleaching?
- Welche Laser kommen zum Einsatz und wann?
- Kann man auch genetisch verfärbte Zähne aufhellen?
- Wie lange hält das Bleaching?
- Kann man auch einzelne Zähne bleachen lassen?
- Erfahrungsbericht – so war das Bleaching beim Zahnarzt
Kurkuma, Aktivkohle, Natron, spezielle Zahnpasta, Whitestrips oder doch lieber Erdbeermus auf die Zähne schmieren? Die meisten von uns haben schon einmal versucht, mit diversen Hausmitteln oder Produkten aus der Drogerie die Zähne aufzuhellen.
Auch interessant: Welcher Tee verfärbt nicht die Zähne?
Doch Zahnärztinnen und Zahnärzte raten davon ab. Die Gründe: Viele Methoden sind zu abrasierend oder greifen Zähne und das Zahnfleisch an. Der Whitening-Effekt hält sich bei den meisten Hausmittelchen und Drogerie-Produkten ebenfalls in Grenzen.
Weiße Zähne: Methode und Kosten für ein Bleaching
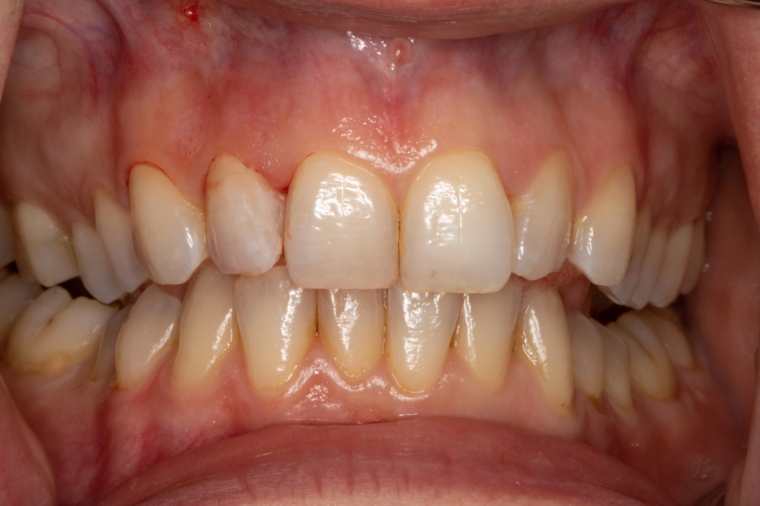
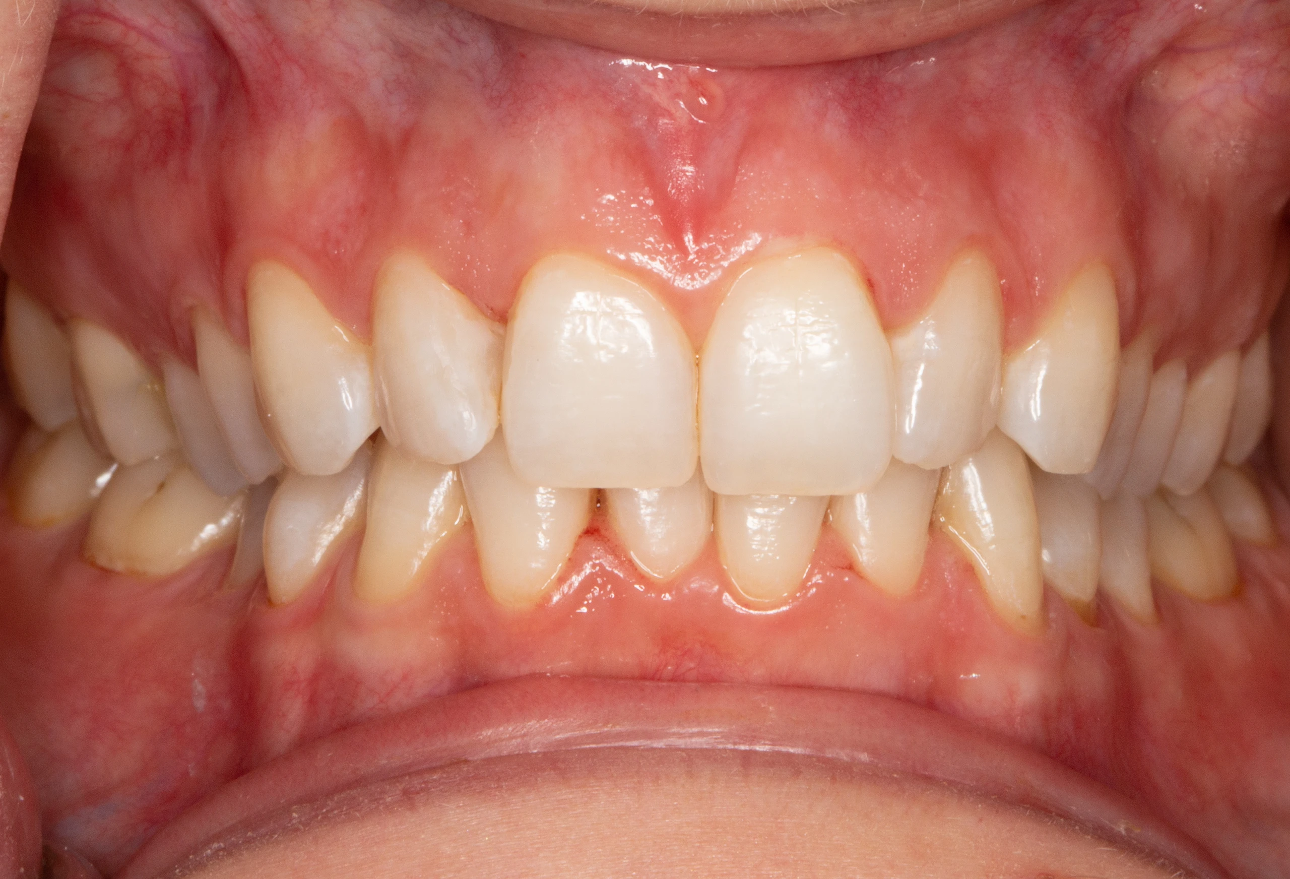
Ein strahlend weißes Lächeln – es ist das, was wir ALLE wollen. Ein professionelles Zahnbleaching beim Zahnarzt oder Zahnärztin kostet um die 500 Euro und verspricht ein Top-Ergebnis. Doch bekommt man auch etwas für sein Geld? Ist tatsächlich ein Unterschied zu sehen? Wir haben mit Univ. Prof. DDr. Andreas Moritz von der Universitätszahnklinik Wien gesprochen und selbst ein professionelles Zahnbleaching durchführen lassen. Hier die Vorher/Nachher-Bilder:


vor dem Bleaching
© Universitätsklinik Wien, Universitätsklinik Wien

Zähne nach dem Bleaching
© Universitätsklinik Wien, Universitätsklinik WienWelche Bleaching-Methode ist die innovativste?
DDr. Moritz: Das Bleaching mit dem Laser ist die innovativste Methode. Es ist außerdem sehr schonend.
Welchen Unterschied gibt es beim zahnärztlichen Bleaching und dem in Bleaching-Bars?
DDr. Moritz: In den Bleaching-Bars werden die Zähne mit geringen Prozentzahlen an Wirkstoff aufgehellt – meist mit 0,1 Prozent Wasserstoffperoxid. Hier ist wenig Effekt zu erwarten. Beim professionellen Bleaching bei den Zahnärzten wird ein höherprozentigeres Wasserstoffperoxid verwendet. Man arbeitet hier mit sehr hohen Konzentrationen, lässt sie aber nur sehr kurz auf den Zahn einwirken. Dadurch entstehen keine Schäden an der Oberfläche und man erzielt einen sehr langanhaltenden Effekt.
Welche Ergebnisse kann man bei einem Bleaching erwarten?
DDr. Moritz: Beim Laser-Bleaching bleibt die Oberfläche der Zähne glatt, das heißt, hier kann sich in Zukunft weniger absetzen. Versucht man beispielsweise mit diversen Hausmittelchen die Zähne aufzuhellen, bleiben ganz feine Schäden zurück. In kurzer Zeit kommen die Verfärbungen dann wieder – womöglich schlimmer als zuvor. Whitestrips hinterlassen Untersuchungen zufolge ebenfalls eine raue Oberfläche, die Schmelzprismen werden freigelegt, beim nächsten Glas Rotwein ist der Effekt vorbei. Das Laser-Bleaching ist eine sehr sichere Methode. Die ärztliche Aufsicht ist beim Bleaching (jeder Art) unerlässlich. Besondere Vorsicht gilt bei Schmelzrissen, freigelegten Zahnhälsen und bei der Behandlung des Zahnfleischs – deswegen gehört das Bleaching in ärztliche Hand.
Kann das Ergebnis vorher abgeschätzt werden?
DDr. Moritz: Das Ergebnis ist bei jedem/r PatientIn individuell verschieden. Der Langzeiterfolg nach einer Aufhellungsbehandlung ist von der häuslichen Mundhygiene ebenso wie von den Ernährungsgewohnheiten abhängig. Welche Ergebnisse möglich sind, variiert also. In einer umfassenden Befunderhebung besprechen wir mit den PatientInnen die bestgeeignete Methode und beraten umfassend.
Was muss vor einem Bleaching beachtet werden?
DDr. Moritz: Die optimale Vorgangsweise bei jeder Zahnaufhellungsmethode fängt mit einer umfassenden Befunderhebung und Mundygienesitzung an. Vor der Zahnaufhellung ist eine professionelle Zahnreinigung unbedingt notwendig, um alle Anlagerungen bzw. Verfärbungen vollständig von der Zahnoberfläche zu entfernen.
Sind die Zähne nach dem Bleaching schmerzempfindlich?
DDr. Moritz: Nein. Freiliegende Zahnhälse und das Zahnfleisch werden beim Bleaching abgedeckt. Kronen und Brücken können übrigens nicht aufgehellt werden. In seltenen Fällen kann es nach der Zahnaufhellung kurzfristig zu Überempfindlichkeit kommen. Um den Zahnschmelz zu stärken, wird zum Abschluss der Behandlung ein Fluorid-Calcium-Gel aufgetragen.
Auch interessant: Diese 5 Getränke sind Gift für deine Zähne!
Für welche Patientinnen und Patienten ist das Bleaching nicht geeignet?
DDr. Moritz: Schwangere und stillende Frauen und Minderjährige sollten auf die Zahnaufhellung verzichten. Da keine Studien zur Sicherheit von Zahnaufhellungen während der Schwangerschaft und Stillzeit durchgeführt wurden, sollte man die Zahnaufhellung während der Schwangerschaft und Stillzeit aussetzen. Eine gute und professionelle Mundhygiene ist jedoch sehr empfehlenswert.
Wie funktioniert das professionelle Bleaching?
DDr. Moritz: Das durchsichtige Wasserstoffperoxid-Gel wird auf den Zahn aufgetragen und durch Licht oder Laser aktiviert. Die Pigmente im Zahn werden vom Licht absorbiert und verwandeln sich in lichtreflektierende Moleküle, das heißt, die Zähne erscheinen heller. Wenn man dem durchsichtigen Gel einen Farbstoff hinzufügt, kann dieser durch Licht aktiviert werden. Mit einem Laser lässt sich dieser Effekt aber verstärken und verschnellern. Deshalb ist dieses Bleaching effektiver als bei diversen Homebleaching-Sets oder in Bleaching-Bars, die mit Licht arbeiten. Es gibt verschiedene Laser, die zur Anwendung kommen.
Welche Laser kommen zum Einsatz und wann?
DDr. Moritz: Bei gelben Zähnen arbeitet man eher mit dem Diodenlaser. Bei grau verfärbten Zähnen – zum Beispiel durch Medikamenteneinnahme – arbeiten wir in der Zahnklinik mit dem KTP-Laser. Dabei handelt es sich um ein sogenanntes fotochemisches Bleaching. Damit lässt sich ebenfalls ein sehr guter Effekt erzielen.
Kann man auch genetisch verfärbte Zähne aufhellen?
DDr. Moritz: Ja, es ist immer ein Effekt erkennbar. Aber natürlich gibt es Fälle, wo weniger zu sehen ist. Wiederum passiert es auch, dass ein sehr starker Effekt eintritt. Das Ergebnis lässt sich vorher aber ganz gut abschätzen. Bei jüngeren PatientInnen ist der Effekt oft stärker als bei älteren.
Wie lange hält das Bleaching?
DDr. Moritz: Bleacht man genetisch verfärbte Zähne, bleibt der Effekt bestehen. Ansonsten kommt es auf die Gewohnheiten der PatientInnen an – meist hält das Ergebnis einige Jahre.
Kann man auch einzelne Zähne bleachen lassen?
DDr. Moritz: Ja natürlich. Oft sind die Eckzähne stärker verfärbt. Hier braucht man meist mehrere Durchgänge. Wenn man alle Zähne bleachen lässt, sind am Ende alle Zähne gleich hell.


DDr. Moritz
© Andreas Moritz Uni Klinik WienErfahrungsbericht – so war das Bleaching beim Zahnarzt
Das Bleaching ist wirklich absolut schmerzfrei. Zwar ist es ein wenig unangenehm, wenn der Mund die ganze Zeit aufgespreizt ist, aber mehr ist auch wirklich nicht zu spüren. Mit dem Ergebnis bin und war ich ebenfalls sehr zufrieden. Hat man von Natur aus schon helle Zähne, darf man keine Riesen-Veränderung erwarten. Auf den ersten Blick in den Spiegel sieht man natürlich den Unterschied. Nach einigen Tagen fällt es einem weniger auf, dass sich etwas getan hat. Das liegt aber auch daran, dass man sich an den Effekt gewöhnt hat. Im Gegensatz zu Whitestrips, mit denen die Zahnaufhellung zu hause gemacht wird oder dem in diversen Bleaching-Bars, hat das Bleaching beim Zahnarzt gute Ergebnisse gebracht.