
Bleaching trotz empfindlicher Zähne? Wir haben die angeblich schonende und preisgünstige Zahnaufhellung für zuhause getestet. Das Ergebnis? Klickt rein!
Nein, es ist nicht so, dass ich gelbe Maiskörner im Mund habe. Bei Gott nicht. Aber Kaffee, schwarzer Tee (zum Glück kein Nikotin mehr!), Rotwein – all das sorgt langfristig für unhübsche Verfärbungen auf den Zähnen.
Mit dem Gedanken an ein Bleaching habe ich also schon länger gespielt. Genauer gesagt: Vor ungefähr drei Jahren das erste Mal. Doch damals gab es trotz aller Sehnsucht nach weißen Zähnen zwei gute Gründe, es nicht zu tun:
Zum einen habe ich empfindliche Zähne, da ich durch zu starkes Putzen einen Teil des schützenden Zahnschmelz weg gebürstet habe. Ich schreie zwar nicht, wenn ich Eiskaltes esse oder trinke, aber meine Zahnärztin riet mir anno 2011 trotzdem von einer zusätzlichen Belastung der Zähne ab. "Es könnte sein, dass die Zähne durch die Aufhellung zu stark angegriffen werden und Sie immer Schmerzen haben." Ähhhhh... NEIN!
Zum anderen war da der Preis. Etwa 300 bis 600 Euro kostete ein professionelles Bleaching. Jetzt ist mir meine Schönheit natürlich schon einiges wert – aber das war mir dann damals doch ein wenig zu viel.
Das Thema schien also durch. Bis ich neulich zur Mundhygiene in meiner Zahnarztpraxis Dr. Lukas war. Denn auf meine relativ hoffnungslose Frage nach einer Möglichkeit der Zahnaufhellung erfuhr ich: Es hat sich in Sachen Bleaching einiges getan!
Denn laut meiner Zahnärztin sind die Bleaching-Schienen (im Fachjargon: "Trays") für zuhause um einiges günstiger – auch das Gel wurde weiterentwickelt und ist nun wesentlich schonender für die Zähne. Nach viermaliger Versicherung der Ärztin meines Vertrauens, dass meine Zähne tatsächlich nicht perforiert werden und mir fortan nicht bei jedem Wissen ein stechender Schmerz in die Wurzel schießt, habe ich es gewagt. Ich teste die Zahnaufhellung mit den "UltraFit Trays" von Hersteller Opalescence.
Der Test: Bleaching für zuhause


Meine Beißerchen vor dem Home-Bleaching. Das Licht ist leider ein wenig gelblich, aber man sieht die Färbung trotzdem gut.
© privat, privatDa meine Zähne relativ hell sind und ich bei der vorab empfohlenen Mundhygiene war, reichen nach Ansicht meiner Zahnärztin schon drei Schienen, um ein schönes weißes Ergebnis zu erzielen. Was wunderbare Auswirkungen auf die Bleaching-Kosten hat! Denn eine Schiene kostet nur 15 Euro – ich bin also mit 45 Euro dabei, muss nicht mehr mehrere 100 Euro ablegen.


Das sind Home-Bleaching-Schienen von Opalescence
© OpalescenceAn drei aufeinanderfolgenden Tagen muss ich die Schienen (eine für den Oberkiefer, eine für den Unterkiefer) nun jeweils für 90 Minuten einsetzen. Eine längere Tragezeit verbessert das Ergebnis übrigens nicht, denn der Wirkstoff wirkt tatsächlich nur innerhalb dieser 90 Minuten.
Wie ist der Tragekomfort? Wer als Kind eine Zahnspange über Nacht tragen musste, weiß in etwa, wie sich die Schienen im Mund anfühlen. Irre bequem sind sie nicht, stören aber beim Fernsehen oder Lesen überhaupt nicht. Und: Sie sitzen perfekt, obwohl sie nicht extra erst auf meinen Kiefer angepasst wurden. Das Gel ist geschmacklos, wenn ein wenig davon aus der Schiene in den Mund quillt, kann man es einfach ausspucken.
Nach 90 Minuten entfernt man die Schienen, spült den Mund zweimal gründlich aus und putzt anschließend die Zähne.
Tatsächlich spüre ich an zwei meiner empfindlichen Zähne direkt nach dem Entfernen der Schienen einen ganz leichten Schmerz, der ist aber überhaupt schlimm (eher ein kurzes Pieksen als ein Stechen) und geht auch nach einer halben Stunde wieder vorbei. Das Zahnfleisch ist nach der ersten Behandlung ein wenig wund – ein Effekt, der sich aber bei der zweiten und dritten Anwendung in den Tagen darauf nicht wiederholt.
Am Besten ist es übrigens, wenn man die Schienen zwei Stunden vor dem Schlafengehen trägt. Denn direkt danach sollte man besser nichts essen und nur Wasser trinken.
Was ist zu beachten? Während der Behandlung sind die Zähne etwas "ausgetrocknet". Weshalb du in dieser Zeit viel trinken solltest – vor allem Wasser. Verfärbende Genussmittel wie Kaffee, schwarzer Tee, Cola, Rotwein, rote Früchte, rote Beete etc. solltest du ebenfalls während und in den Tagen nach der Behandlung besser meiden. Sonst ist der Effekt der Zahnaufhellung nicht ganz so gut...
Soooooooo ... und jetzt wollt ihr wissen, wie das Ergebnis des Home-Bleachings ausfiel....:


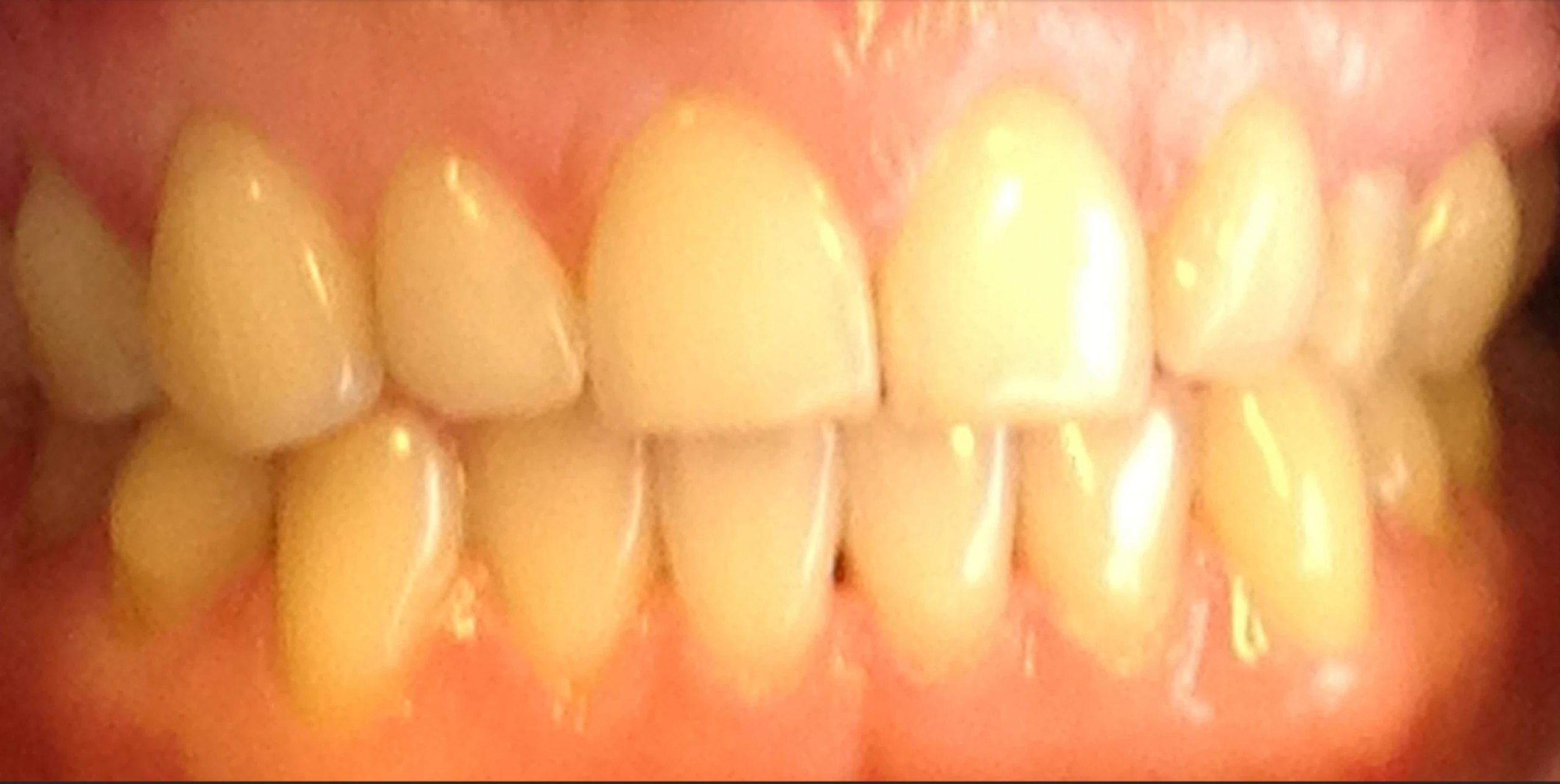
So sehen meine Zähne NACH der Behandlung aus!
© privat, privatDie Lichtverhältnisse sind zwar beim Vorher-/Nachher-Foto ein wenig anders (und ihr verzeiht meine mittelmäßigen Foto-Künste), ABER: der Effekt ist wirklich toll! Meine Zähne sind nun wesentlich weißer. Und schmerzen kein bisschen! Allerdings bin ich hinsichtlich möglicher Neu-Verfärbungen nun so alert, dass ich seit Tagen keinen Kaffee mehr getrunken habe.... egal. Ist ja auch gesünder.